Tandsten: Mer än en beläggning – Varför den måste tas bort professionellt

Den där sträva, hårda beläggningen som sätter sig bakom framtänderna eller längs tandköttskanten – de flesta av oss har känt den med tungan. Vi talar om tandsten. I en tid av "gör-det-själv"–lösningar och smarta huskurer är det lätt att tro att även detta är något man kan åtgärda hemma med ett vasst verktyg från ett online-kit. Men sanningen är att försök att få bort tandsten själv är både ineffektivt och direkt riskabelt. Tandsten är nämligen inte bara en ofarlig, ful beläggning. Det är en förkalkad, stenhård koloni av bakterier som utgör ett direkt hot mot ditt tandkötts hälsa. Den här guiden är skriven för att förklara hur tandsten bildas, varför den är en hälsorisk och varför det säkraste och effektivaste sättet är att avlägsna den hos en tandhygienist.

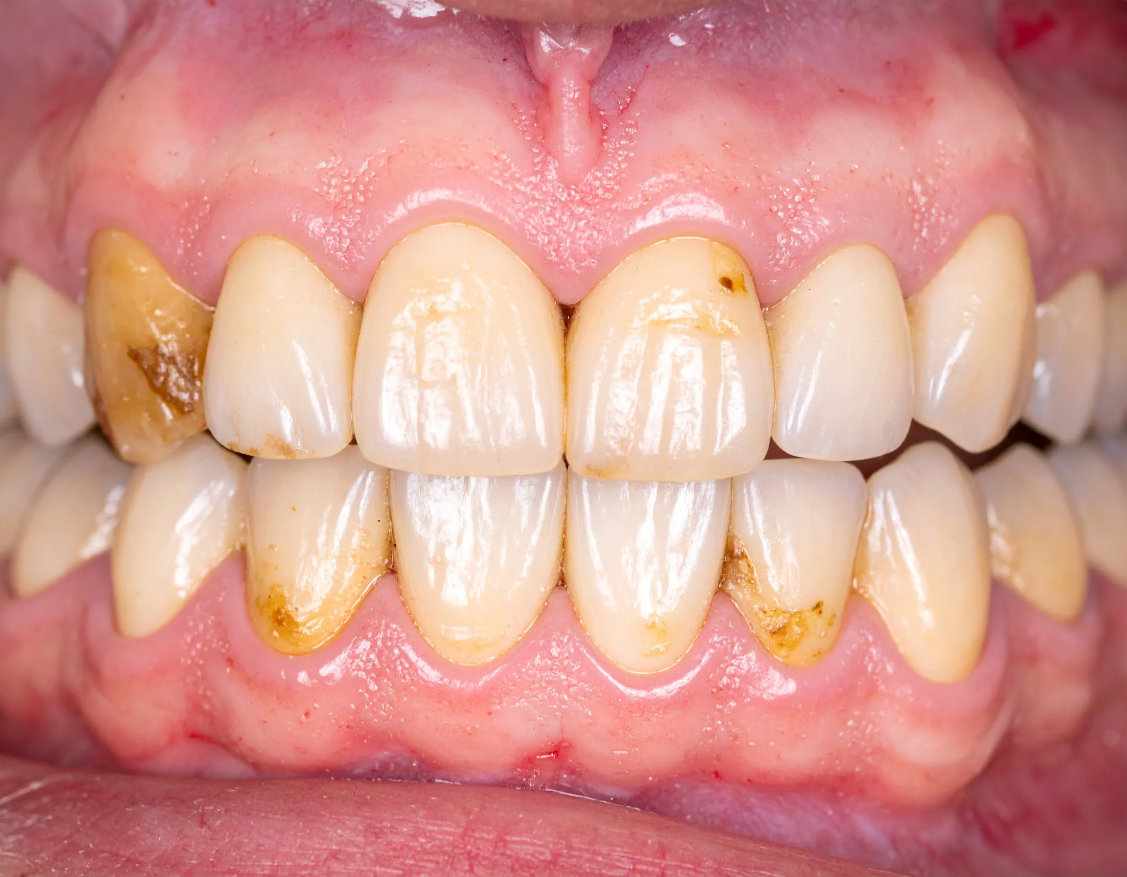
Tandsten som sitter på tänderna.

Från mjuk plack till hård sten: Hur tandsten bildas

All tandsten börjar som plack. Plack är en mjuk, klibbig och nästan osynlig biofilm av bakterier som konstant bildas på våra tänder. När du borstar tänderna och rengör mellan dem, avlägsnar du denna plack. Men på de ställen du missar, eller har svårt att komma åt, får placket sitta kvar. Det är då en kemisk process startar. Saliven i vår mun är rik på mineraler som kalcium och fosfat. När dessa mineraler kommer i kontakt med den kvarvarande placken, börjar placken att hårdna och förkalkas – den blir till tandsten (calculus/tartar). Tandsten sätter sig oftast på två ställen:

  • Ovanför tandköttskanten (supragingivalt): Detta är den vanligaste och mest synliga typen. Den har ofta en vitgul färg och sätter sig gärna på insidan av framtänderna i underkäken, eftersom saliv från de stora spottkörtlarna mynnar ut just där.
  • Under tandköttskanten (subgingivalt): Detta är den mer förrädiska och farliga typen. Tandstenen bildas dolt i tandköttsfickan. Den är ofta mörkare, på grund av färgämnen från blod i den inflammerade fickan. Denna tandsten går inte att se själv och kan bara upptäckas av en tandläkare eller tandhygienist.

Varför det är farligt att försöka ta bort tandsten själv

De skrapor och verktyg som säljs online marknadsförs ofta som en billig och enkel lösning. I själva verket kan de orsaka permanenta skador.

  • Du skadar emaljen: Tandsten sitter cementerad på tanden. För att få bort den krävs antingen rätt instrument och teknik, eller rå styrka. Med ett vasst, okontrollerat instrument är risken överhängande att du skrapar och rispar den skyddande emaljen, vilket skapar en perfekt grogrund för nya bakterier och missfärgningar.
  • Du skadar tandköttet: Ett litet slint med ett vasst verktyg kan lätt leda till ett smärtsamt sår i det känsliga tandköttet, vilket kan blöda och bli infekterat.
  • Du missar den farliga tandstenen: Det är fysiskt omöjligt att på ett säkert sätt komma ner under tandköttskanten och avlägsna den subgingivala tandstenen på sig själv. Du lämnar därmed kvar den största hälsorisken.

Den verkliga hälsorisken: Tandsten som en bakterieplattform

Föreställ dig ytan på din tandsten som ett oslipat korallrev. Den skrovliga och porösa ytan är den perfekta fästpunkten för nya, aggressiva bakterier. Denna ständigt växande bakteriekoloni irriterar tandköttet dygnet runt. Resultatet är en kronisk tandköttsinflammation, vilket är kroppens sätt att försöka bekämpa infektionen. Om denna inflammation får fortgå kan den utvecklas till tandlossning, en sjukdom där käkbenet som håller tanden på plats bryts ner.

Den professionella lösningen: Tandhygienistens expertis

Att avlägsna tandsten är ett precisionsarbete som kräver utbildning och specialinstrument. En behandling hos vår en tandläkare eller tandhygienist är inte bara en "rengöring", det är en medicinsk behandling som syftar till att eliminera en sjukdomsorsak.

Så här går det till:

  • Ultraljud: Vi använder ett ultraljudsinstrument med en fin spets som vibrerar med en mycket hög frekvens. Vibrationerna, i kombination med en konstant vattenspray, "skakar" loss tandstenen från tanden på ett mycket effektivt och skonsamt sätt.
  • Handinstrument: Efter ultraljudet finjusterar tandhygienisten med specialutformade handinstrument (kyretter). Med dessa kan man med precision känna och avlägsna de sista små resterna av tandsten, särskilt under tandköttskanten.
  • Polering: Behandlingen avslutas alltid med en polering. Tandytorna poleras med en gummikopp och en poleringspasta. Detta gör inte bara att tänderna känns rena och glatta, det skapar också en slät yta som gör det svårare for ny plack att få fäste.

Hur kan du förebygga att tandsten kommer tillbaka?

När vi har återställt en frisk grund är det ditt jobb att underhålla den. Det absolut bästa försvaret mot ny tandsten är en förstklassig daglig munhygien.

  • Se till att borsta tänderna rätt – två minuter, två gånger om dagen, med en mjuk tandborste.
  • Gör rent mellan tänderna varje dag. Detta är det viktigaste steget för att förhindra tandsten, då placken mellan tänderna är svårast att nå.
  • Regelbundna besök hos din tandhygienist för att ta bort den tandsten som tyvärr kan bildas trots god hygien.

Investera i din hälsa

Att ta bort tandsten är inte en skönhetsbehandling; det är en fundamental del av din hälsovård. Det första och viktigaste steget mot en tandstensfri mun är en professionell rengöring och personlig rådgivning.

Vill du få en frisk och ren känsla i munnen och samtidigt skydda dig mot framtida problem? Boka en tid hos oss på Tandgläntan för en professionell tandrengöring.

Vanliga frågor om tandsten

Kan man verkligen inte ta bort tandsten själv?

+

Nej, det är både ineffektivt och riskabelt. Tandsten sitter extremt hårt fast på emaljen. Att försöka skrapa bort den med vassa föremål leder nästan alltid till skador på emaljen och tandköttet. Dessutom är det omöjligt att komma åt och ta bort den skadliga tandstenen som sitter under tandköttskanten på ett säkert sätt.

Gör det ont att ta bort tandsten hos tandhygienisten?

+

För de allra flesta är det en smärtfri behandling. Man kan känna vibrationer från ultraljudsinstrumentet och en skrapande känsla från handinstrumenten. Om du har mycket ilningar eller inflammerat tandkött kan det kännas ömt, och då kan vi självklart erbjuda bedövning för din komfort.

Varför får vissa mer tandsten än andra?

+

Det beror på en kombination av faktorer. Vissa personer har en naturligt högre koncentration av mineraler (kalcium och fosfat) i sin saliv, vilket gör att plack hårdnar snabbare. Andra faktorer är tandställning, hur tätt tänderna sitter och självklart hur noggrann man är med sin dagliga munhygien.

Finns det någon tandkräm som tar bort tandsten?

+

Nej, det finns ingen tandkräm som kan ta bort befintlig tandsten. Däremot finns det "anti–tandsten" tandkrämer som innehåller ämnen (pyrofosfater) som kan hjälpa till att bromsa och minska nybildningen av tandsten. De kan dock inte ersätta behovet av professionell rengöring.